

Our patient of the month for January is Sarah. This is what Sarah had to say about her experience of treatment at Christchurch.
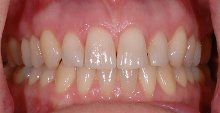
I have always been lucky enough to have healthy teeth, but I disliked the ‘Madonna-style’ gap between my front teeth. I initially started treatment with a local orthodontist, which went on for two years, but unfortunately, we were unable to close the gap.
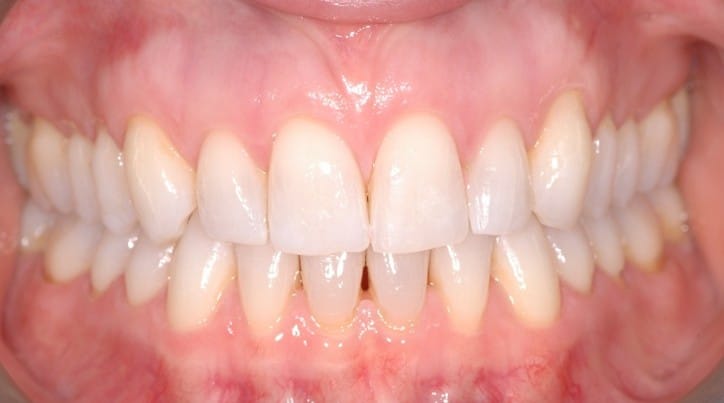
After chatting to Derek, I decided to finish my treatment with Christchurch Dental. Derek fitted the Invisalign aligners, which successfully closed the gap. I was absolutely delighted with the result and, with the retainers he provided, I have been able to keep my teeth straight and gap-free.
With my teeth now beautifully aligned, I decided to go ahead with whitening. Derek started the treatment and supported me throughout the process, and I am thrilled with my new, bright white smile.
Following all of this, I also needed to replace some ageing fillings and opted for white fillings. I now have a set of teeth that I am genuinely delighted with and feel very happy smiling and laughing without covering my mouth.
Looking back at the treatment – including the occasional discomfort and the cost – I have absolutely no regrets. Derek and his team have given me teeth that I am so proud of, and they continue to support me with regular dental checks and hygienist visits. I cannot speak highly enough of Christchurch Dental.
Thank you so much Sarah for sharing your story.








