

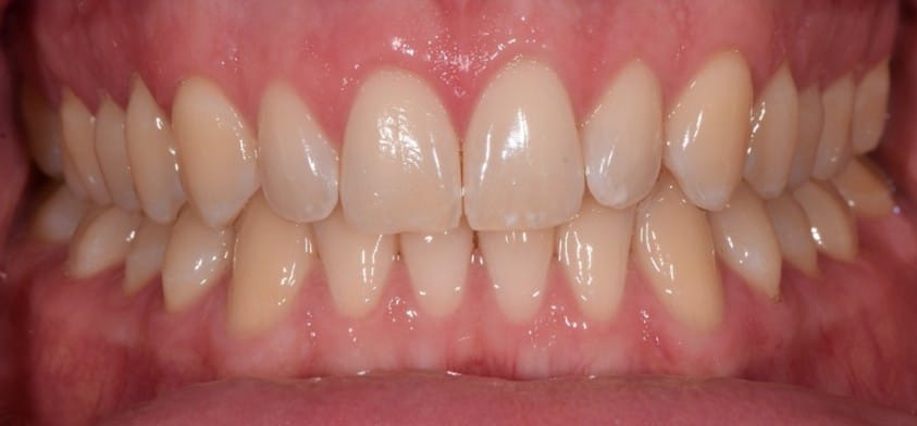
Ollie and his family have been attending the practice for many years. After seeing some fantastic whitening results first hand, it gave him the confidence to finally get his teeth whitened.
Ollie said “the whole experience was incredibly straightforward, Derek explained everything clearly and made the process easy to follow. I started with my top teeth, and within a few weeks, I could see a noticeable difference compared to the bottom ones. That progress really motivated me, and once the bottom teeth were done, the final result was even better than expected’.
He went on to say “my teeth are now in the best condition they’ve ever been, and I genuinely wish I’d done this sooner. I’d absolutely recommend it to anyone considering teeth whitening’.
Thank you Ollie for letting us tell your story and we are delighted you have had such a fabulous result.










