Dental Implants Smile Gallery
Case 1
Congenitally missing teeth replaced with implants, crowns and veneers


Case 2
Dental Implants


Case 3
Dental Implants


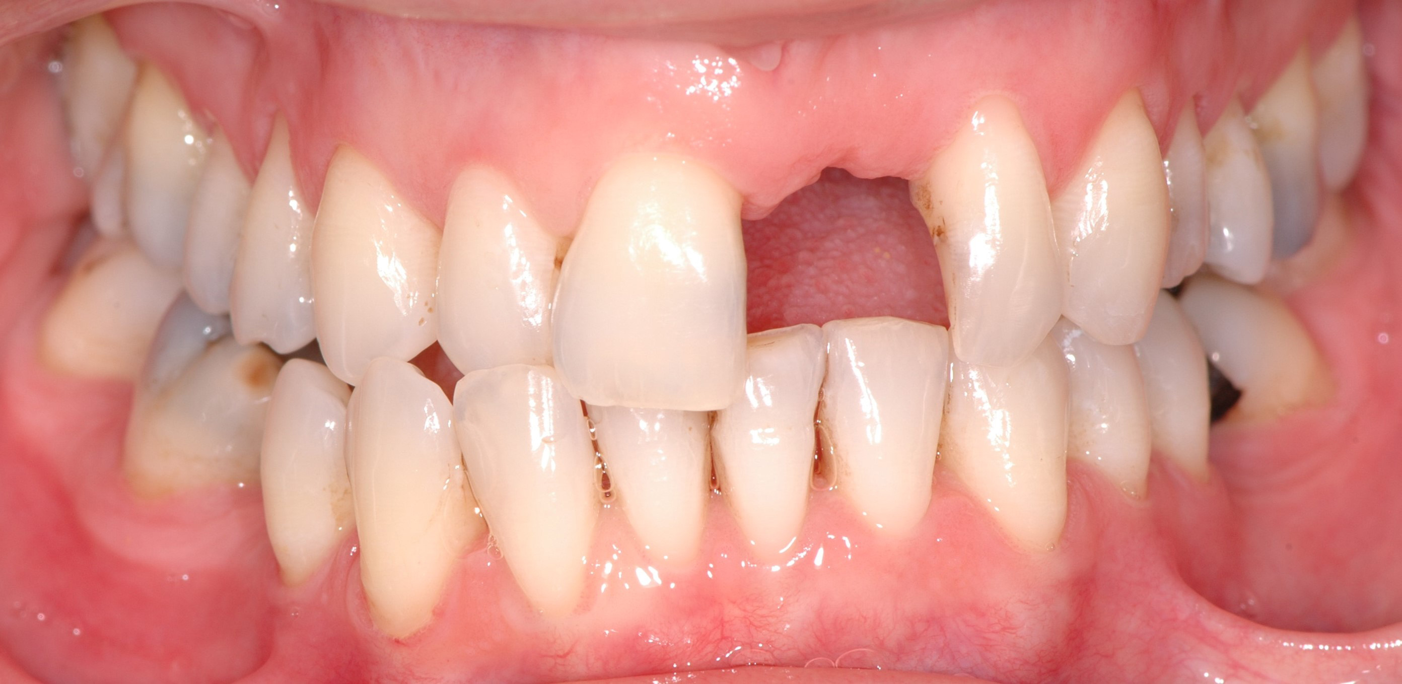
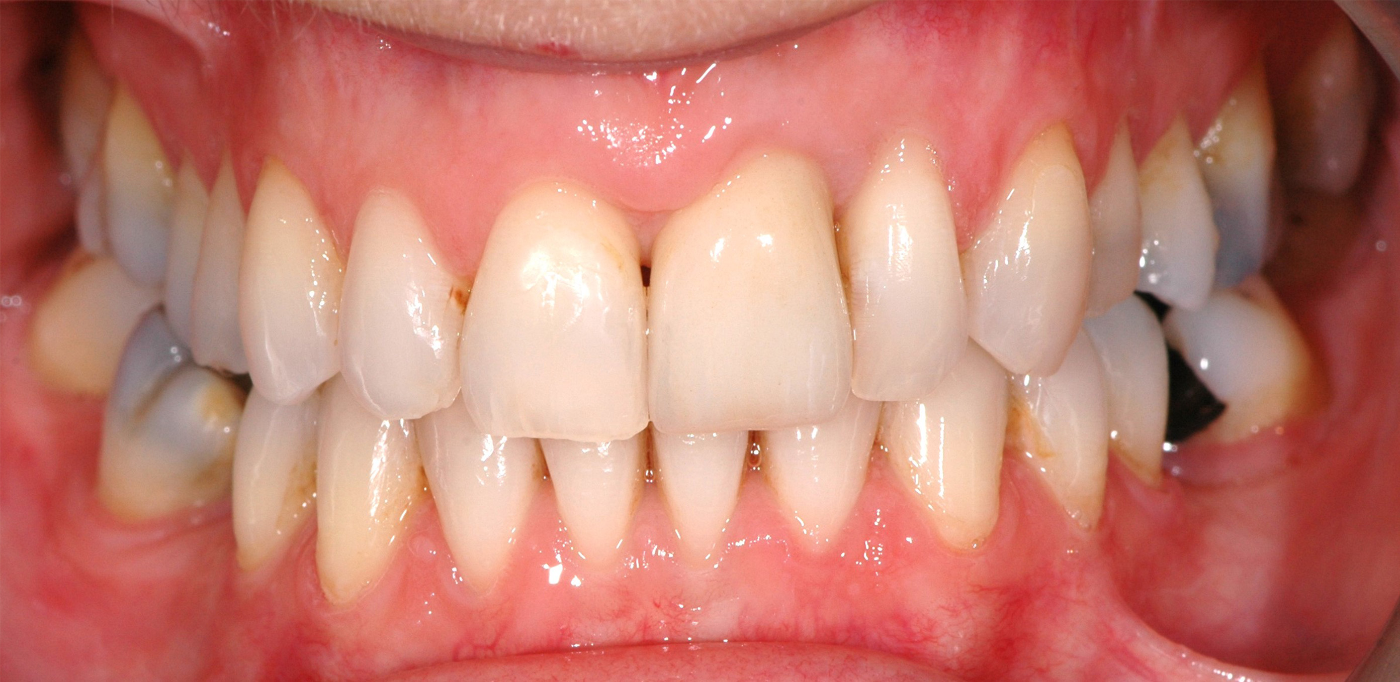
Case 4
Dental Implants


Congenitally missing teeth replaced with implants, crowns and veneers


Dental Implants


Dental Implants


Dental Implants

