Cosmetic Dentistry Smile Gallery
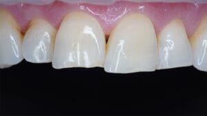
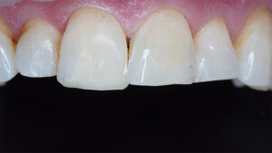
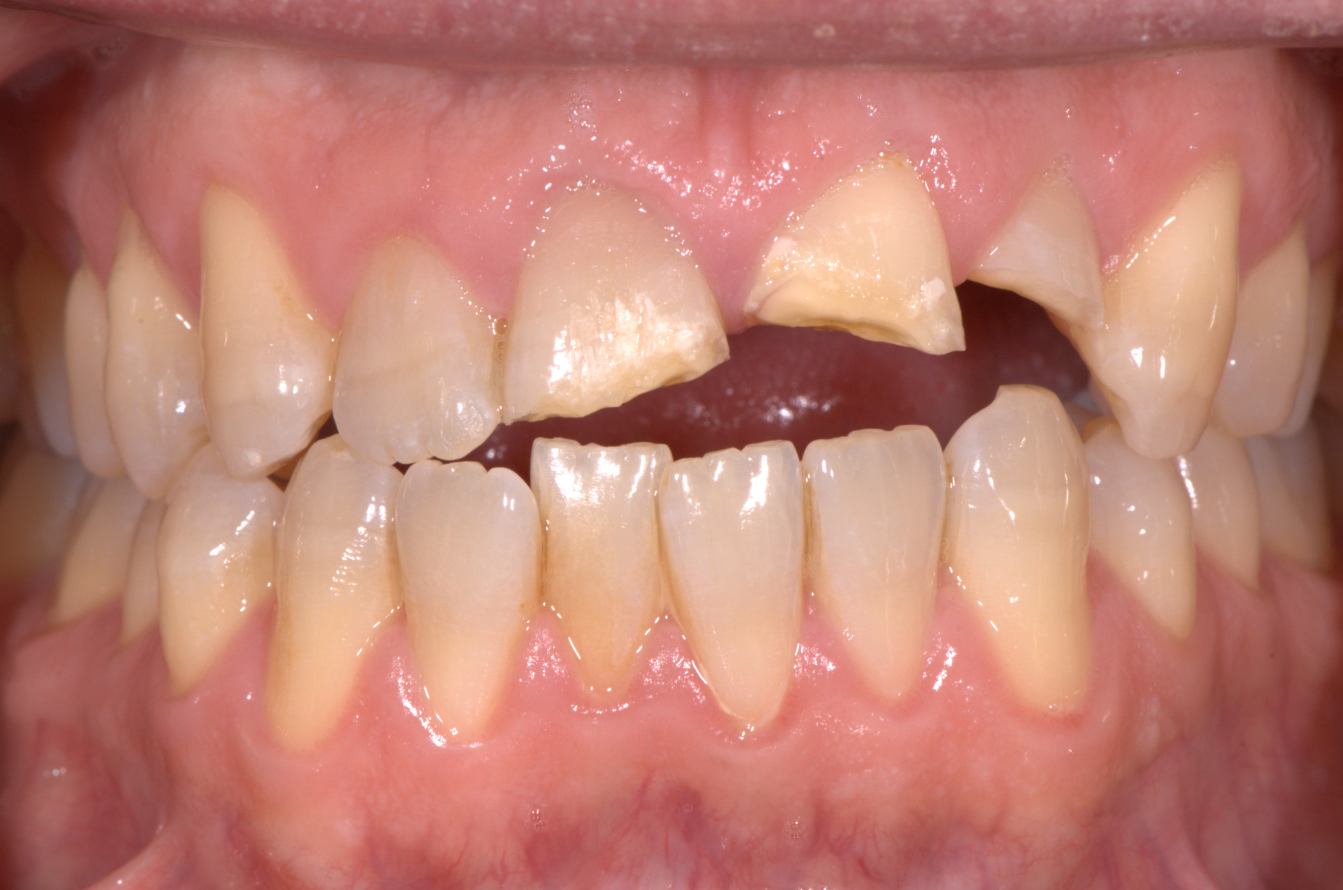
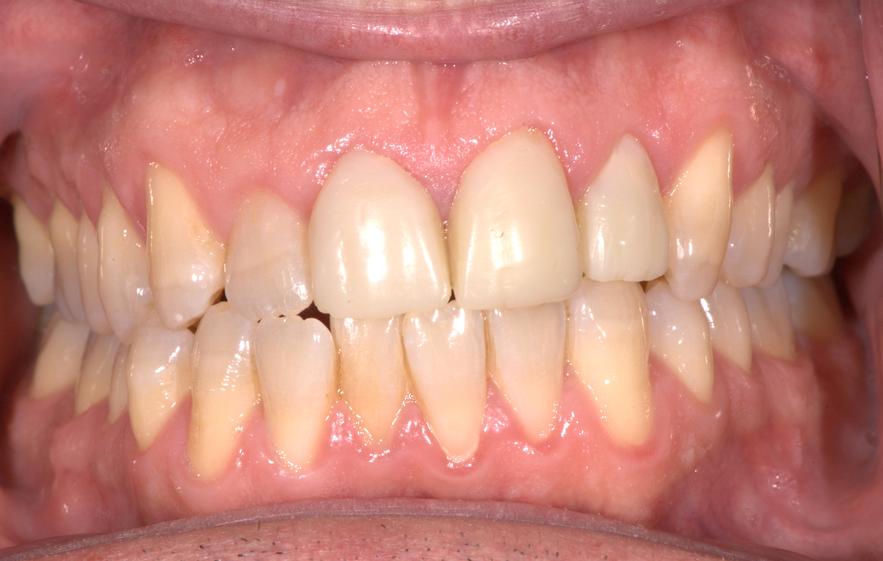
Case 1
Years of wear and smoking restored with crowns and veneers.


Case 2
Congenitally missing teeth replaced with implants, crowns and veneers


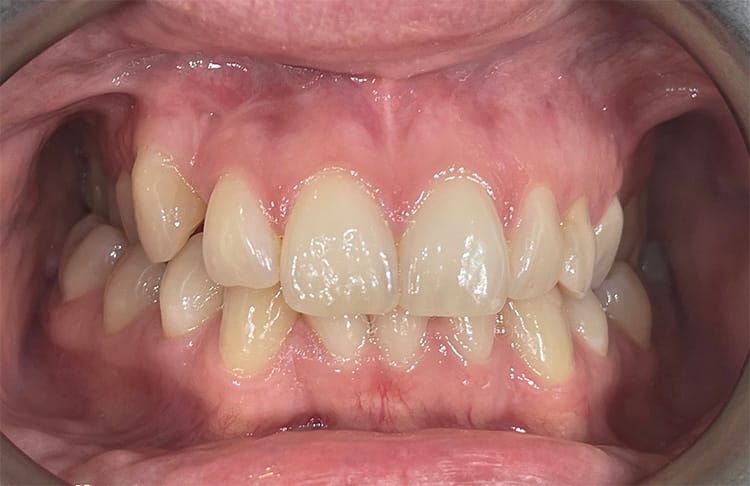
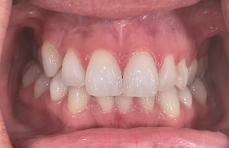
Case 3
Invisalign® and Tooth Whitening


Case 4
Composite Bonding


Case 5
Teeth Whitening


Case 6
Veneers










